Trial Written Paper June 2020
A 58 year old man presents with four weeks of a flu like illness to a regional fever clinic. He is admitted acutely to a peripheral hospital. Empiric antibiotics are started. Blood cultures are positive for Streptococcus Mitis. Antibiotics are rationalised to Benzyl Penicillin. He is transferred to your tertiary institute where further investigations are performed.
Background:
Remote Appendicectomy
Current Smoker
Previous IVDU (30 years ago)
Former alcohol abuse (ceased 30 years ago)
Indigenous Australian
Cultural Performer
Lives alone
Two adult children nearby who he is close to
No usual medications. No allergies.
A transthoracic echo is performed:
A TOE is then performed:
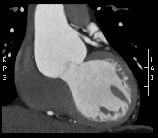
A CTCA is performed:
Questions:
- Outline the issues facing this patient in the near and long term 
- What are the indications for surgery in this situation? 
- What operation do you offer this patient? Describe the operative steps succinctly 
- Once through the ICU phase postoperatively, what are your medical management priorities and how would you manage them? 
- Outline your approach to cultural and socio-economic considerations in decision making for this clinical scenario 
Note: submissions for the trial exam have now closed
 
             
             
             
            