Trial Short Case 1April 2021
Case Summary
51-year-old woman of Aboriginal and Torres Strait Islander Descent.
NYHA II dyspnoea on a background of known IHD.
Referral for consideration of surgery at combined Cardiac MDT meeting.
Unstable angina and NSTEMI in August and October 2020. Discussed at that time in the Cardiac MDT meeting. The consensus at that time was for medical therapy due to her comorbidities.
Unstable angina again with 2 x admissions since October and most recent admission with NSTEMI (Trop 100).
The patient is accepted for transfer to the tertiary hospital for definitive management after further investigations.
Background
IHD
T2DM (Oral Control)
COPD
Liver Cirrhosis with known HCC (EtOH causative)
Obesity
Lives alone
40 pack year smoking history
EtOH Consumption
Medications
Aspirin 100mg
Atenolol 25mg
Isosorbide mononitrate 120mg
Rosuvastatin 40mg
Irbesartan 75mg
Linagliptin 5mg
Gliclazide 30mg
Fluticasone + Salmeterol 250/25 mcg BD
Salbutamol PRN
Magnesium 1g
Thiamine 100mg
Examination
100kg, 164cm
HR 85 bpm regular
BP 105/65
JVP not elevated
Nil peripheral oedema
HSDNM
Chest – diffuse wheeze
Nil VV (peripheral scarring bilaterally on both lower limbs), Allen’s Negative, Sternum has nil deformities
Investigations
Bloods:
Hb 134, platelets 138, INR 1
K 3.4, Creat 55
Albumin 24
HbA1c 9
Hep/HIV Negative
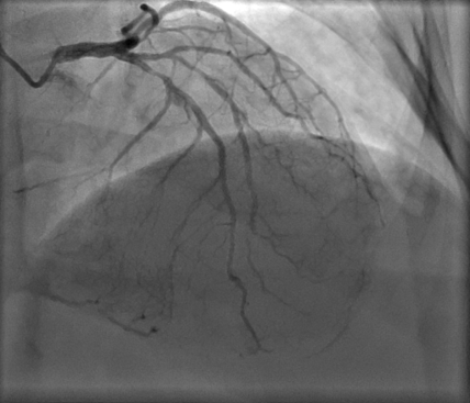
Echo:
Normal LV Size
Basal inferoseptal akinesis and scar
Overall systolic function preserved
No valvular pathology
MRI
Confirmed arterially enhancing hepatic mass with restricted diffusion of just under 2 cm in diameter in segment 8. This could well represent HCC on the background of cirrhosis. 2nd lesion at the dome of the right lobe is also identified on MRI, being less than 1 cm in diameter. It is also likely to be HCC.
Questions:
- What are the indications for the surgical treatment in this patient? What are the confounding medical and social issues for this patient in consideration of management of her IHD? 
- The patient is accepted for CABG after the cardiac MDT. What is your operative plan for conduit and justification in this patient? 
- The patient was discharged day 6 post operatively. The patient represented during her out patient CyberKnife treatment with increased SOB and ECG proven AF. TTE has demonstrated a mild-moderate pericardial effusion. What are your considerations for management? 
 
             
             
             
             
             
             
             
             
             
            