Trial Short Case 3 April 2021
Case Summary
61 year old male presenting with unstable angina and CTO of the LAD
Background
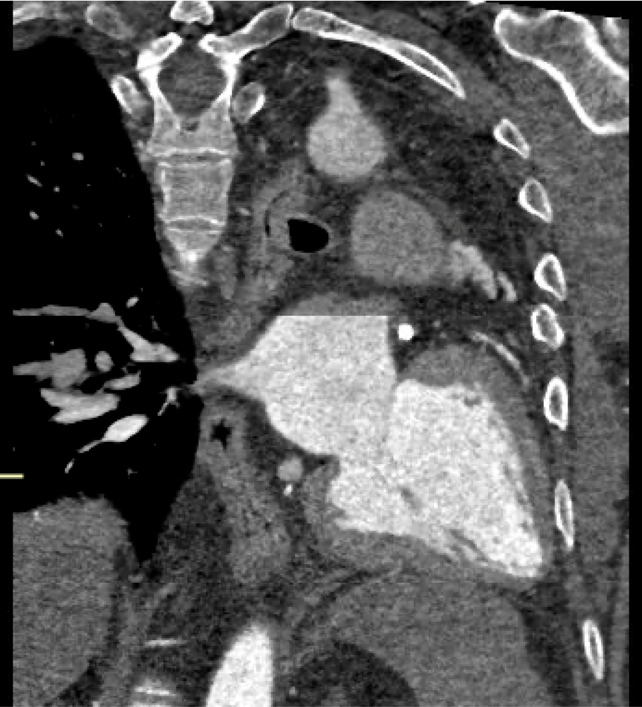
Previous left pneumonectomy for typical carcinoid tumour 2001
Previous PCI to RCA and LCx
Hypertension, Dyslipidaemia
Active bowls player, activity limited by angina, no shortness of breath
Medications
Aspirin
Cilazapril
Metoprolol
ISMN
Atorvastatin
Daily use of GTN spray
Examination
73kg male, 168cm
Posterolateral thoracotomy scar
HSDNM, Displaced apex, no air entry on L)
Bilateral radial Allen's negative, no varicose veins, palpable femoral pulses
Investigations
Echo:
Normal biventricular function and no valve abnormalities
Spirometry; FEV1 1.4 (45%), FVC 2.9 (71%)
Angio: CTO of proximal LAD with filling from RCA, Patent LCx stent, 60% Mid LCx stenosis distal to stent (DFR 1.0), Mild disease proximal RCA
Questions:
What are the indications for surgery in this patient?
What are the key issues in performing coronary artery bypass grafting on this patient?
You decide to offer the patient CABG. What is your operative strategy?
 
             
             
            