Trial Short Case 1April 2022

Case Summary

A 59-year-old male underwent primary investigation for new onset atrial fibrillation.

Worsening SOB with activity.

NYHA II

The patient had been anticoagulated by his primary physician. Initial exam and primary screening investigations did not demonstrate any known causes for atrial fibrillation. The patient progressed to a trans thoracic echocardiogram.

Background

Bipolar affective disorder

HTN

Hypercholesterolaemia

T2DM

Testicular Cancer - Orchidectomy and Chemotherapy

GORD

Non smoker

nil EtOH

BMI normal

nil family history of arrhythmia

nil OSA

Medications

Apixaban 5mg BD

Perindopril 2.5mg

Metformin XR 1g

Examination

90kg, 175cm

HR 92 bpm irregular

BP 145/75

JVP not elevated

Warm peripheries, strong irregular radial pulse

No carotid bruits

HS 1+2 + nil added

Chest - equal air entry, no creps/wheeze

Calves soft not tender

Nil peripheral oedema

Nil varicose veins

Thyroid exam unremarkable

Investigations

Bloods

CBE: Hb 133 / WCC 5.25 / Plt 221

EUC: Na 140/ K 4.3 / Creat 72

LFT: unremarkable

Coagulation Profile: INR 1.0 / APTT 32

Troponin 6

CK 116

HbA1c 7.1%

TTE:

A divided left atrium, separating the pulmonary veins from the mitral orifice. Nil thrombus in the left atrial appendage. Nil valvular pathology The left atrium was dilated (81ml/m2) and the interatrial septum was intact. LV function normal – 60%

Stress TTE:

Increase in the gradient across the membrane opening from 4mmHg to 14mmHg, and no increase in right heart pressures.

TOE

The right and left upper pulmonary veins drained into the superior segment of the left atrium, and majority of blood flowed across a single posterior opening (1.5cm2) in the membrane.

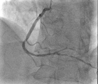
Angiogram

•Left Main Coronary Artery: Patient with minor non critical atheroma

•Left Anterior Descending Coronary Artery: Patient with minor non critical atheroma

•Circumflex Coronary Artery: Co-dominant artery – patent with minor non critical atheroma

•Left Ventricle: EDP 10mmHg, no significant aortic pullback gradient

•Right Coronary Artery: Co – dominant artery, right PDA is a moderate vessel with severe 80% mid vessel stenosis

Right Heart Cath


Questions:

  1. What is the primary pathology in this patient? Where does this anomaly occur and what is the cause?

  2. Explain the results of this patient’s investigations, your interpretation explain your reasoning for the new onset atrial fibrillation?

  3. What is the evidence for surgical intervention on this gentleman’s atrial fibrillation?

  4. After concomitant left atrial appendage closure, the patient is requesting cessation of their blood thinning agents. What is the current evidence for this?